
Pesquisas recentes sugerem que o consumo frequente de alimentos ultraprocessados está associado a uma queda significativa no bem-estar mental e a uma maior prevalência de sofrimento...

Pesquisas recentes sugerem que o consumo frequente de alimentos ultraprocessados está associado a uma queda significativa no bem-estar mental e a uma maior prevalência de sofrimento...

Pesquisas recentes sugerem que a motivação funciona menos como um botão de volume do esforço e mais como uma lente de câmera que altera a forma...

Entre estudantes do ensino médio e adultos, meninas e mulheres são muito mais propensas a usar algoritmos tradicionais, passo a passo, para resolver problemas básicos de...

Um novo estudo publicado na revista Neuropsychopharmacology sugere que o uso de anticoncepcionais orais pode influenciar a forma como o cérebro regula respostas de medo em...

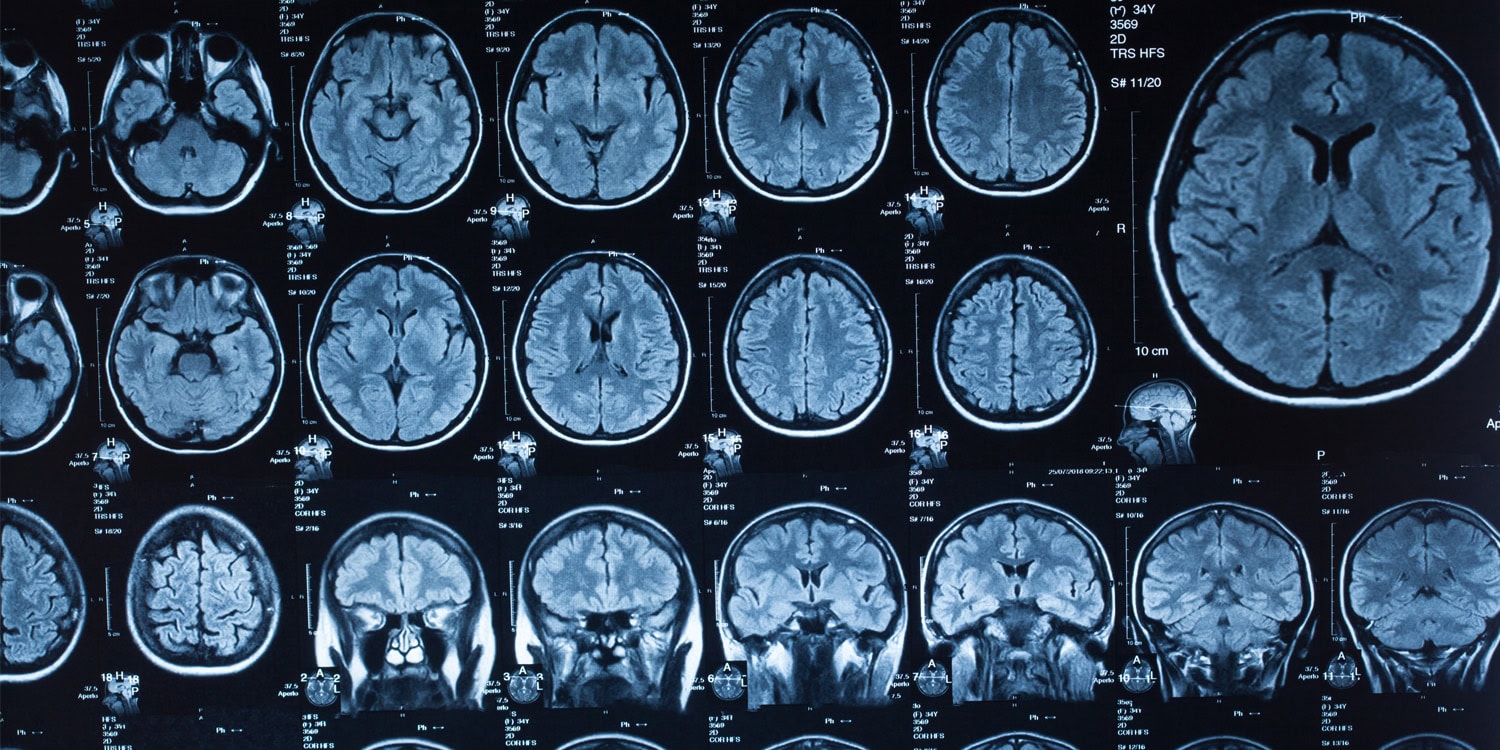
Uma nova pesquisa que utilizou técnicas avançadas de neuroimagem revela que a infecção pelo SARS-CoV-2 pode induzir alterações duradouras no cérebro, mesmo em indivíduos que se...

Uma análise recente de um grande banco de dados sobre desenvolvimento revela que crianças que tocam instrumentos musicais ao longo de vários anos apresentam habilidades de...

Uma nova análise sugere que substituir o tempo gasto em dispositivos digitais por leitura compartilhada oferece benefícios mensuráveis ao desenvolvimento de crianças pequenas. Publicada na revista...

Uma nova pesquisa sugere que um tipo específico de treinamento cerebral pode ajudar pessoas com ansiedade social a romper o hábito de focar instantaneamente em sinais...

Novas pesquisas indicam que a organização estrutural do cérebro humano não se desenvolve de forma contínua e linear, mas progride por meio de cinco fases distintas,...

Vivemos em uma era em que as redes sociais se tornaram parte essencial do cotidiano. Para muitos jovens, os “likes”, os comentários e as notificações são...
© 2024 | MaxStats Psicologia
Fale conosco